ADA Accessibility Information
Accessibility

A
A

A
Home BioClear BioClear Smile Gallery

BioClear Smile Gallery
San Francisco, CA


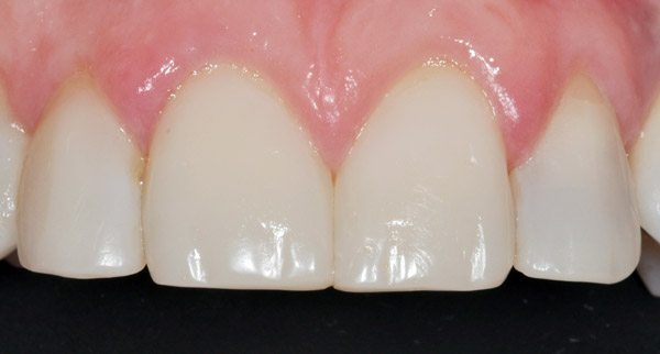
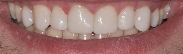
At San Francisco Dental Arts, we see that the Bioclear veneer technique has revolutionized dental restorations. Below are some samples of some of the cases completed by Dr. Siu and his staff.

Before and After BioClear Veneers:



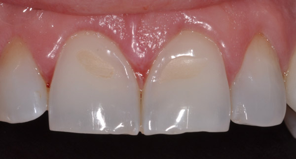
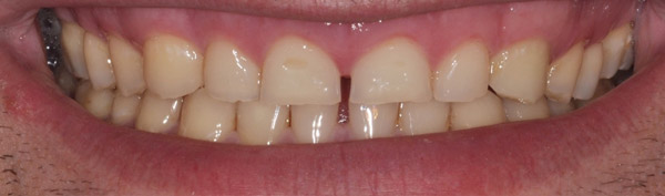
Before:
Photo of mouth before bioclear veneers.
Photo of mouth before bioclear veneers.
Photo of mouth before bioclear veneers.
Photo of mouth before bioclear veneers.
Photo of mouth before bioclear veneers.
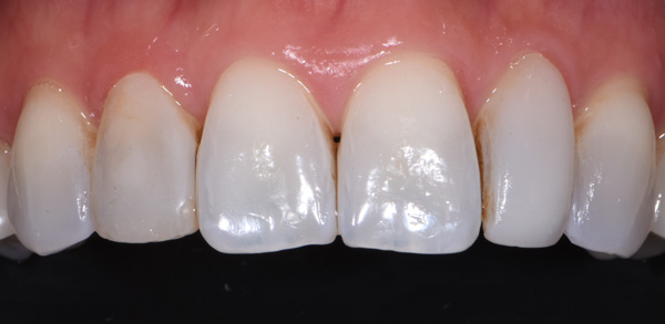
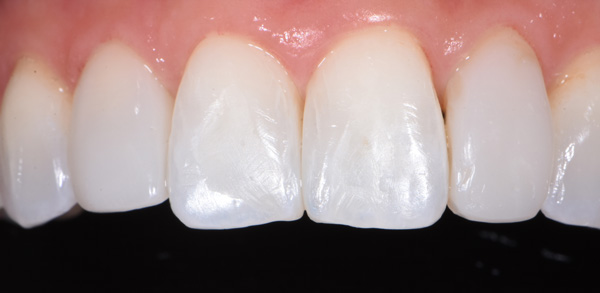
After:
Photo of mouth after bioclear veneers.
Photo of mouth after bioclear veneers.
Photo of mouth after bioclear veneers.
Photo of mouth after bioclear veneers.
Photo of mouth after bioclear veneers.


If you have any questions regarding Bioclear® and are interested in longer-lasting restorations to create an attractive smile, call San Francisco Dental Arts today! Our friendly staff is here to assist you in any way we can.
Calendar iconSimplified calendar with two rows of four day squares
Hours
Mon
Tues
Weds
Thur
Fri
9am to 5pm
8am to 4pm
9am to 5pm
8am to 4pm
By Appt Only

We take Lunch from 1-2pm
Copyright © 2020-2026 San Francisco Dental Arts. All rights reserved.  Sitemap
San Francisco Dental Arts: Holistic Dentist San Francisco
Experience exceptional dental care at San Francisco Dental Arts in downtown SF. Offering family, cosmetic, and restorative treatments in a comfortable setting.
San Francisco Dental Arts, 220 Montgomery St Ste. 825, San Francisco, CA 94104 • 415-981-9000 • thesfdentist.com • 3/8/2026 • Tags: Dentist San Francisco CA, Dentist in San Francisco, SF Dentist, Dentist near San Francisco, Dental Implants in SF, Dental Implants in San Francisco